Visit Us ! Contact Us

Your Smile is our priority

Dental Experts you can trust

Experience world-class dental care with our team of certified professionals. We're committed to your oral health and beautiful smile.

welcom to Majd-Studios

All your dental needs in one place

We're driven by compassion, treating every patient with respect and empathy. We uphold excellence in all our care, operating with complete integrity. We also embrace innovation, always using the best technology for your benefit.

at Majd-Studios we strive for (your core values here)

ceo name

Ceo of Majd-Studios

Our Vision :

To be the leading dental clinic in the region, known for exceptional patient care and healthy, confident smiles.

Learn More

Our Mission :

We provide personalized, high-quality dental care in a comfortable setting, empowering you to achieve optimal oral health.

Learn More

Our Value :

At our core, we believe in compassion, ensuring every patient feels understood and cared for ❤️.

Learn More
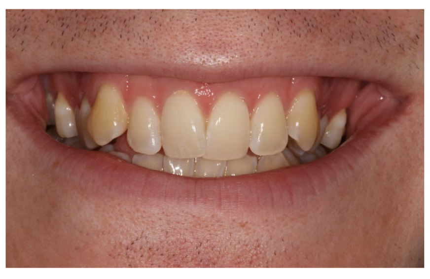
Before dental treatment Before
After dental treatment After
arrow
Our Results

Transform Your Smile with Confidence

See the incredible transformations our skilled dental team can achieve. We specialize in creating beautiful, healthy smiles tailored to each individual's unique needs and goals.

Our Process to Your New Smile

  • Initial Consultation: Comprehensive exam and discussion of your smile goals.
  • Customized Treatment Plan: Developing a personalized plan for your specific needs.
  • Execution of Treatment: Implementing the planned dental procedures with precision.
  • Aftercare and Maintenance: Guiding you on how to maintain your stunning new smile.
Book Your Consultation
Common Questions

Frequently Asked Questions About Your Dental Health

  • We offer a comprehensive range of services including general check-ups, cleanings, cosmetic procedures like teeth whitening and veneers, restorative treatments such as fillings, crowns, and bridges, as well as emergency dental care.

  • Yes, we accept most major dental insurance plans. Please contact our office with your insurance details, and our staff will be happy to help you understand your coverage and benefits.

  • It is generally recommended to visit your dentist for a routine check-up and cleaning every six months. However, based on your individual oral health needs, your dentist may recommend more frequent visits.

  • If you experience a dental emergency, such as severe pain, a knocked-out tooth, or significant bleeding, please call our office immediately. We prioritize emergency cases and will provide instructions or schedule you for the soonest available appointment.

Contact Us

Get In Touch With Majd-Studios

Location 123 Smile Street, Suite 101, Dental City, DC 12345
clinic exterior
Working Hours
Monday - Friday: 9:00 AM - 5:00 PM Saturday: 9:00 AM - 1:00 PM Sunday: Closed